概要
病気を調べるには患者さんからの問診、画像検査、採血など、様々な方法があります。病理とは、病(やまい)の理(ことわり)つまり病気の本態、原因、転機を調べることです。
病理診断とは患者様の病変・病気からとられた組織や細胞から顕微鏡標本をつくり観察し、病変の種類、良性か悪性かの判断を行います。結果は各診療科の先生に報告され、患者様の治療に生かされます。
病理診断科の主な業務には病理組織診断、術中迅速診断、細胞診、病理解剖があります。直接患者様と接する機会は少ない業務ですが、スタッフの病理医、細胞検査士を含む専門の臨床検査技師と共にこれらの業務にあたっています。各診療科の先生とスクラムを組み、日々良い診療を行うことを目指しています。
スタッフ紹介
日本臨床細胞学会(細胞診専門医、評議員、教育研修指導医、精度管理アドバイザー)
日本婦人科病理学会理事
日本乳癌学会
日本肺癌学会
日本婦人科腫瘍学会(代議員)
検査内容
病理組織診断
例えば、内視鏡医が見つけた病変部から採取(生検といいます)された小さな検体や、手術で切除された検体から、顕微鏡標本をつくり病変の種類、良悪、どの程度病気が進んでいるかなどを病理医が顕微鏡を使って確認します。
顕微鏡で観察するには人工的に着色し、病変の観察を行います。

膵臓の病理標本です。中央の円となっている部分、ここがランゲルハンス島です。血糖値のコントロールを行うインスリンなどのホルモンを分泌する細胞です。これが腫瘍になると、キレイな円である形状は崩れ、インスリンを過剰分泌してしまいます。

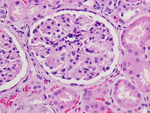
腎臓の病理標本です。丸くキレイな模様となっているのが糸球体です。血液中の老廃物や塩分をろ過し体の外に尿として排泄する働きをしています。ここが炎症をおこしてしまうと(腎炎)、細胞が増えすぎたり無くなったりし、キレイな模様が崩れます。正常な働きができなくなり、尿に血が混じることもあります。
細胞診
痰や尿などを顕微鏡で調べてがん細胞がいるかどうかを判断します。子宮がん検診では、子宮頸部から細胞をこすって調べます。のどや乳房にしこりがあると細い針を刺して吸引し、とれた細胞の中にがん細胞がいるかどうかを調べる場合もあります。
臨床医に採取された細胞は液状化検体細胞診標本を作製し顕微鏡で観察します。


術中迅速診断
手術の最中に行われる病理診断です。通常の病理診断は数日~数週間かかりますが、術中迅速診断では検体を急速に凍結し標本を作製し、10〜20分くらいで手術中に病理診断が報告され、執刀医はその結果をもとに手術の方針を決定します。
病理解剖
残念ながら病気で亡くなられた患者様のご遺体を解剖し、詳しい医学的検討を行うことです。これによって死因を正しく理解し、治療の適切性を評価することができます。生前には見つかっていなかった疾患や未知の疾患についての重要な情報が得られ、それは将来の医療に役立てられます。